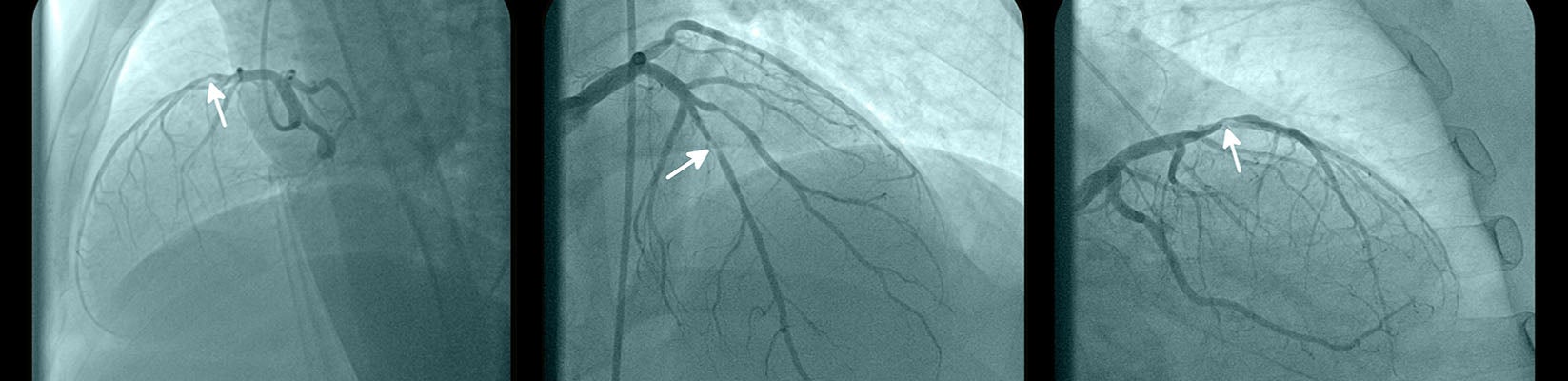
Interventional Cardiology at Nazareth
Interventional cardiology involves diagnosing and treating conditions of the heart and blood vessels using nonsurgical, catheter-based procedures and specialized imaging.
- Angioplasty
- Cardiac catheterization
- Endovascular thrombectomy
- Peripheral vascular interventions
- Percutaneous coronary interventions
- Cardiac stenting
- Transcatheter aortic valve replacement (TAVR)
Our Interventional Cardiologists
Sunil K. Dhar, MD
Interventional Cardiology
Trinity Health Mid-Atlantic Medical Group
Daniel J. Vile, DO
Interventional Cardiology
Trinity Health Mid-Atlantic Medical Group