Types of Joint Replacement Surgery

joint replacement

Hip Replacement

hip replacementThe hip joint is a ball and socket joint, that consists of cartilage on the ball of the upper end of the thigh bone (femur) and another layer within your hip socket. This cartilage serves as a cushion and allows for smooth motion of the hip. Arthritis is a wearing away of this cartilage, which eventually wears down to bone. Rubbing of bone against bone causes pain, swelling and stiffness. When non-operative treatment fails to control the discomfort and stiffness from arthritis of your hip, your surgeon may recommend total hip replacement surgery.

Total hip replacement removes the arthritic ball of the upper thigh bone (femur) as well as the damaged cartilage from the hip socket. The ball is replaced with a prosthetic ball and metal stem that is fixed solidly inside the thigh bone (femur). The socket is replaced with a prosthetic liner that is fixed inside a metal shell. This creates a smoothly functioning joint. The implants are designed to restore function and eliminate as much discomfort as possible while allowing you to return to a more active lifestyle.

Rehabilitation and walking begin the day after surgery, and hospital stay is typically just one overnight. Therapy will begin in the hospital and usually continues after discharge with home PT. Joint replacement surgery of the hip has been extremely successful in helping patients with arthritis return to their normal activities and relieve their discomfort.

Knee Replacement

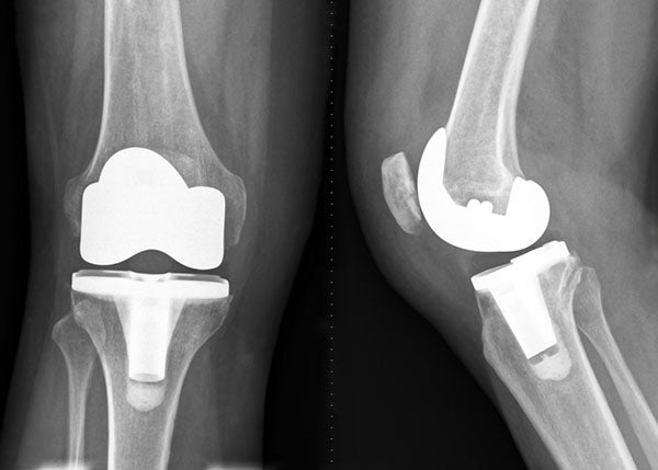
knee replacementThe knee joint consists of a layer of smooth cartilage on the lower end of your femur (thighbone), the upper end of the tibia (shinbone) and the undersurface of the patella (kneecap). This cartilage serves as a cushion and allows for smooth motion of the knee. Arthritis is a wearing away of this cartilage, which eventually wears down to bone. Rubbing of bone against bone causes pain, swelling and stiffness. For patients with significant arthritis who have failed conservative treatment, your surgeon may recommend joint replacement surgery.

Surgeons don’t actually replace the joint as is commonly thought. Instead, your surgeon replaces the damaged cartilage found at the end of the bones in your knee joint. This is done with a metal alloy on the femur (thighbone) and a medical grade plastic spacer on the tibia (shinbone) and patella (kneecap). This creates a new smooth cushion and a functioning new joint. The implants are designed to restore function and eliminate as much discomfort as possible while allowing the patient to return to a more active lifestyle.

Rehabilitation and walking begin the day after surgery, and hospital stay is typically just one overnight. Therapy will begin in the hospital and usually continues after discharge with home PT. Joint replacement surgery of the knee has been extremely successful in helping patients with arthritis return to their normal activities and relieve their discomfort.

Shoulder Replacement

shoulder replacementThe shoulder joint is a ball and socket joint involving tendons, muscles, bones and ligaments. There is a smooth layer of cartilage on the socket (glenoid) and the round, ball-like part of the upper arm bone (humerus). This cartilage serves as a cushion and allows for smooth motion of the shoulder. Arthritis is the wearing away of this smooth cartilage, which eventually wears down to bone. The rubbing of bone against bone causes discomfort, swelling, stiffness and restriction of motion. When patients have failed conservative treatment such as rest, avoiding aggravating activities, medications, therapy, and cortisone injections, shoulder replacement may be offered.

There are different types of shoulder replacements available depending on your age and other factors. Our shoulder experts will carefully diagnose and explain your particular condition, and guide you to the most appreciate treatment.

Traditional shoulder replacement surgery involves replacing the damaged parts of the ball and socket joint with prosthetic materials. When the humeral head (ball side) alone is replaced, it is referred as a partial shoulder replacement. When the humeral head (ball side) and the glenoid (socket side) are both replaced, it is a total shoulder replacement. The humeral head is replaced with a metal prosthesis, which is attached to a stem, while the glenoid socket (if applicable) is replaced with a medical-grade plastic prosthesis. An intact rotator cuff is needed.

Reverse total shoulder replacement also replaces both the ball and socket but is performed when a patient has severe rotator cuff injuries that cannot be fixed. The goal of this procedure is to stabilize the damaged joint, as the problematic rotator cuff can no longer hold the humeral head in the glenoid socket. The surgeon will reverse the orientation of the shoulder’s ball and socket joint. The ball at the top of the humerus is removed, and it is replaced with a metal ball that is actually attached to the shoulder blade instead of the humerus. A prosthetic socket is attached to the top of the humerus, which is why this procedure is called a reverse shoulder replacement. This allows for better functionality due a deteriorated rotator cuff, pain relief and restoration of your independence.